白敬亭微博写真图片

相关图片

白敬亭冷调现代风大片释出着西装搭配衬衫成熟干练

白敬亭八零九零##白敬亭过三爽

白敬亭分享181104白敬亭工作室深夜放美图福利音乐博主上岗营业了

《明星大侦探 》 侦探白敬亭友情提示: 今天中午12:00, 芒果tv, 如期

白敬亭

随机推荐

精选头像周杰伦头像简笔画头像

韩雪,身穿运动健身服,好瘦好美,原来明星拍照也喜欢比"耶",被美到了

向华强妻子陈岚直播带货首秀|向太|娱乐圈|豪门阔太|功夫巨星老婆

三湖慈鲷红彩虹蝴蝶4ktropheusspkasanga

长这样↓好喜欢这场造型,古装的神!#檀健次莫青成

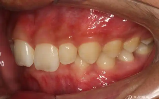
【原创博客】埋伏尖牙的外科电刀开窗导萌

成毅张予曦治愈吻戏##成毅张予曦cp感南风知我意相遇即爱版预告

注:此文完结于2015年,千源在2015年获得过此文作者的授权,此次搬文无