王涪华医生成人虎牙矫正前后对比案例图

相关图片

矫正坐标:北京 虎牙是很常见的牙齿问题,有一部分宝宝只是两颗牙齿

成都正畸牙齿『reco必看攻略』 虎牙 牙列拥挤 牙釉质缺损牙齿整形

虎牙矫正前后对比案例

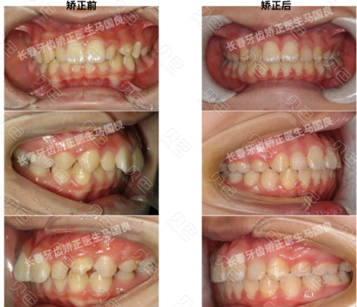
矫正前后对比

重庆牙齿矫正哪家好?公布牙博士虎牙矫正案例

随机推荐

宋亚轩刘海遮住眼睛##宋亚轩颓废感

高圆圆 高清壁纸太漂亮了[我想静静][我想静静][我想静静]喜欢就收藏

徐璐红色裙子素颜写真

十二星座最怕什么?说说你有没有被戳中?

手机无线信号矢量图标

正品善叶千金方药膏去藓湿诊蚊虫叮咬止痒膏玻璃瓶装

鳐鱼

共192 件许龄月相关商品