2012/11/02 下排第一小臼齿拔牙

相关图片

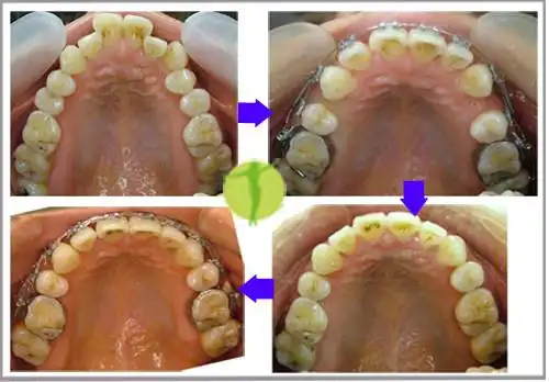
【牙齿矫正】day51 拔牙-最后2颗小臼齿

上牙第一颗臼齿烂透了只剩半个发黑牙外壳有必要拔牙吗

第二步:拔除左上颌未拔除的乳臼齿.第一步:牙周清洁.

first premolar transposition(双侧上颚犬齿与第一小臼齿异位)

p>大臼齿,简称臼齿,俗称磨牙(客语:撞牙),是人类和其它 a href="#"

随机推荐

可爱的笑脸

创意玻璃厕所隔断设计效果图

肖战脚踝好细

瑜洲洲瑜 - 堆糖,美图壁纸兴趣社区

皇权富贵

慢回弹解压神器小玩具含女友礼物减压捏捏乐女生仿真可爱发泄卡通

ceba夏季上新运动风透气洞洞鞋纯色潮流百搭厚底休闲男士凉鞋男

帅哥系列壁纸,第46期,我们以一位备受瞩目的年轻偶像——马嘉祺为主题