古风唯美仙女头像古代小说美女

相关图片

古风闺蜜头像 古风闺蜜头像,超仙~小仙女的最爱

神仙颜值 #开心起来笑一笑 #动漫少女 古代少女头像! - 抖音

唯美古风小仙女头像

仙女

超可爱的古风小仙女头像,甄嬛传头像.

随机推荐

97"周杰伦专辑封面"手机超清壁纸·原图分辨率9k,记得查看原图再

炸裂尺度于和伟新剧大胆上演美人计删减全无网友直呼过

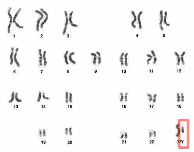
别的染色体都出双入对凭什么xy长得不一样

男生半脏辫发型 帅气酷炫潮男范--sms580

锁骨小清新_纹身图案手稿图片_二美的纹身作品集

电视 快乐女声 2009快乐女声 快乐女声 图集来源: 搜狐娱乐

的角色,不过就和达拉然一样,许多新城邦在洛丹伦大陆逐渐建立了起来

今天教超简单的腹肌画法