牙齿侧面图

相关图片

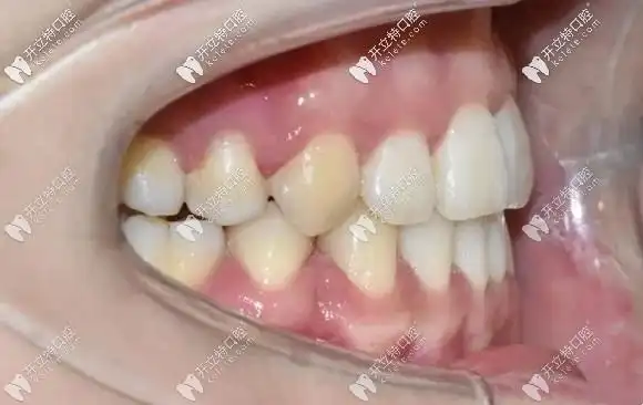
最后附上我的牙齿正面和侧面… 我是肯定要戴牙套的了!

侧面图,正常咬合的健康人类牙齿.医学上准确的牙齿3d插图

开心笑露出白牙的美女侧面

侧面看牙要飞出去了!

牙医通过辅助工具做牙齿检查

随机推荐

#马丽素颜状态好好##马丽包好多#

香港"四大天王",两人被抛弃一人退隐,未来还得看张学友_腾讯新闻

中性风酷帅女生短发头发剪短做个酷girl超有型

42岁郭晶晶拿下新代言拎3万包包却不会用表情尴尬太紧张

【豆豉五花小炒秋葵】营养加分的家常小炒菜

分享一组唯美好看的花卉图片壁纸给大家,想要更多高清桌面壁纸,关注美

洁城一出手,黑手变白手

作者诙谐有趣的语言,让人看得很是酣畅淋漓.电影也不错哦!