牙齿,美白

相关图片

牙齿

女人微笑露出牙齿牙齿美白

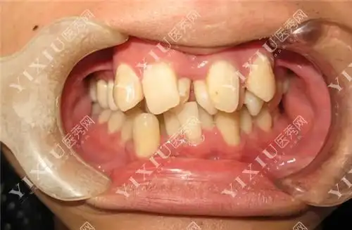
如疾病,口腔不良习惯,牙齿替换不正常等各种原因导致的牙齿,颌骨,颅面

各种牙齿畸形做矫正价格表更新!-医秀网

镶牙齿图片

随机推荐

刘德华早年酷帅写真图片69

帅气男神吴彦祖

杨幂夕瑶

薛宝钗戴的金项圈原来并非国货

美艳古装美女汉服高清桌面壁纸

33岁王二妮生活照,成名后给老公送豪车,结婚8年没时间生子

王嘉尔 jackson - 堆糖,美图壁纸兴趣社区

萌之瑶 新版党支部谈心谈话记录本 党员学习笔记本文具记事本16开活页