矫正牙齿案例严重牙齿拥挤不齐侧切牙反合

相关图片

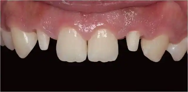
多学科联合治疗上侧切牙畸形过小牙一例——孙丽艳医师

【病例分享】过小侧切牙的直接修复

宝宝旧牙整齐,换完新牙却歪的一塌糊涂,很可能是这些事没做好

牙齿长歪成这样了还能不能矫正?我今年18岁

唉没啥变化就今天感觉右边那颗侧切牙有点痛有点怕突然掉了最近做梦

随机推荐

少年不知蓝洁瑛,中年不懂ig

天台上赌球的跳不跳不跳让一让炒股的先来

杨紫,邓伦罕见齐齐更博,还为同一件事!

41岁高圆圆新造型曝光,皮肤白皙没有一丝皱纹,身段完美锁骨突出

沙僧扮演者闫怀礼10点举行追悼会 灵车到达八宝山

q版双人互动模板线稿绘画参考 #最近画了什么##板绘

从风水的角度来说,又有化刚为柔的功效,它既可以滋养生命,在庭院设计

明星动态# #明星穿搭# #车银优