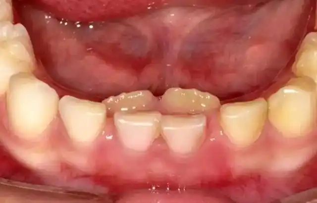
1,一般乳下前牙出现双排牙的情况比较多,乳牙在唇侧,恒牙在舌侧萌出.

相关图片

孩子恒牙长出乳牙未掉需要拔吗出现双排牙怎么办

孩子为啥会长"双排牙"?跟这些坏习惯有关系,家长要了解

双排牙又叫做"乳牙滞留",最常出现在处于换牙期的孩子嘴里,那么,究竟

原创宝宝长出双排牙,罪魁祸首原来是妈妈给宝宝做食物的习惯出问题

出现双排牙需要做手术吗?

随机推荐

赵灵儿刘亦菲仙剑奇侠传(当年谁没为仙剑奇侠传一中)(17)

动漫男生头像高冷侧脸 - 搜狗图片搜索

玺子哥玩偶熊壁纸真的一整个大爱住#易烊千玺

泰诺风隔热条和pa66隔热条的区别在哪-泰诺风隔热条与普通的有什么不

maxfactory「来自深渊」波多尔多figma手办公开 今日开订

iu李知恩 #iu #高清壁纸 #iu壁纸 #壁纸 #iu #舞台妆 #又美又

《画皮2》将收官 王雨将爱深埋内心|王雨|画皮|电视剧_新浪娱乐_新浪

雀巢冰淇淋这个展区做的果然"呈真",尽显可爱灵动,展区分为橙色系