天王星现巨型风暴:威力可吞噬地球所有陆地

相关图片

九大行星之天王星

天王星是什么样的星球天王星是一个恐怖的气态星球,压强超级恐怖吓人

俄天王星反舰导弹能多强?

天王星海王星都比地球大得多其卫星却还没月球大月亮成因待解

对天王星研究越深入发现越神秘也许它不单单是一颗行星

随机推荐

q版王一博x肖战

原创周星驰58岁生日星女郎仅有林允和颚靖雯送祝福令人心酸

心碎绝望的伤感图片1024x600分辨率查看

恐怖信仰!泰国人为何狂热家藏"古曼童"

【男生发型】飞机头发型3.0 锡纸烫

亲近大自然的男生背影头像图片 高清小众高级的微信真人男头_男生头像

女军装头像

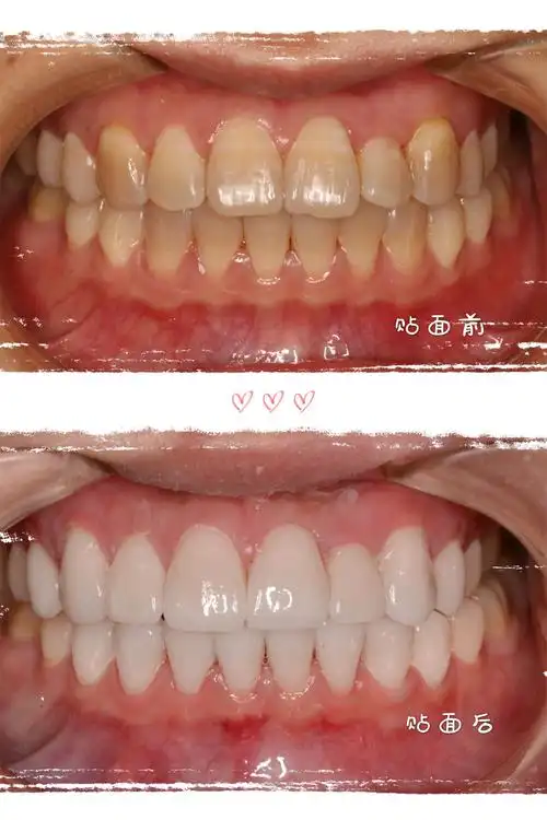
说说牙齿贴面 牙贴面是牙齿美白修复手术的一种,就是在本来染色牙葺