闲侃年入百万不是梦全靠地摊经济来致富

相关图片

这是一位用五菱荣光小卡致富的水果摊小老板,据他表示,用五菱荣光小卡

闲余时,帮老婆拉水果

售货车(在线咨询)-车-流动水果售货车

郭坡涛卖水果的日子里 祥菱微卡是见证人

北汽昌河福瑞达翼展售货车1.

随机推荐

可可爱爱的玺玺,嘟嘟嘴是欠.啵.啵吧08 #易烊千玺 #抖音 - 抖音

女友视角的小凯三屏壁纸真的很难让人不爱好吗#王俊凯 #宝藏男孩

越努力越悲催这一次31岁的杨紫不再受到网友们的宽容

鹿晗《奔跑吧兄弟》

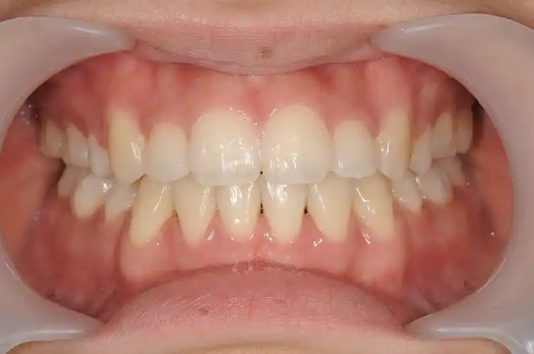
标准的牙齿咬合到底是什么样的? - 知乎

何静的坎坷情路:一婚输给千百惠,二婚被丈夫监视,次次遇人不淑

达拉崩吧歌词简谱第1页

闺蜜头像