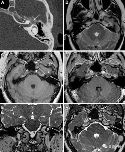
该病典型的 mri 表现为双侧面神经发育不全,在平衡稳态梯度回波序列

相关图片

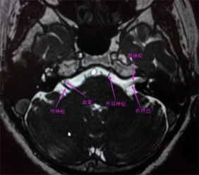
面神经解剖与常见疾病

磁共振检查如3d-tof-mra,fiesta等,有助于明确责任血管和面神经之间的

面神经解剖与常见疾病

神经科学专业讨论版 - 专业医生社区,医学,药学,生命科学,科研学术

面神经解剖及相关病变

随机推荐

宝格丽263852项链(2 / 6)

猪八戒简笔画

蛙叔日更计划 之 2020手写壁纸 选三|平面|字体/字形|cheer蛙蛙

2020年婚纱照必拍的6种风格建议收藏

森林中精灵仙女唯美梦幻写真手机壁纸

人间芭比上线!lisa新海报出炉,反差魅力可盐可甜是你的菜吗

2021新款式春日少女心美甲,图片,短指甲-lomo美甲

画师:quan_ #原神# #头像#听我说公子啊