气胸的治疗策略有哪些?一文带你了解_腾讯新闻

相关图片

搜狗指南——生活技能宝典

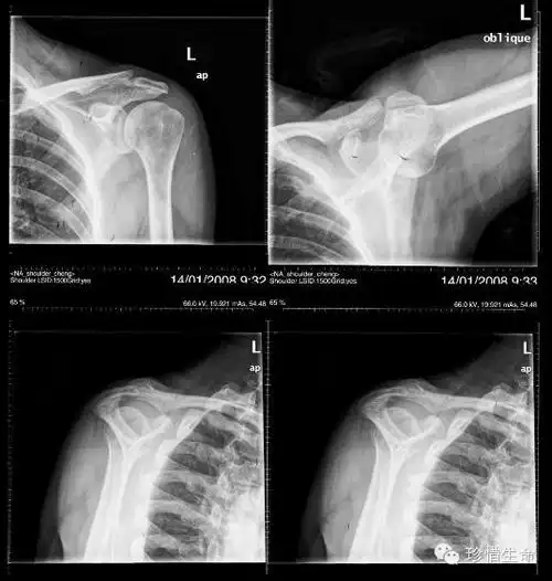
肩关节x线检查体位大全 - 好医术早读文章 - 好医术-赋能医生守护生命

丁香园论坛

肩部x线摄影-ppt参考课件

肩关节x线检查体位大全 - 好医术早读文章 - 好医术-赋能医生守护生命

随机推荐

明月山风景区总面积约为380平方公里,主峰海拔1736米,因其山峰形状

十大国民女神刘亦菲古力娜扎热巴杨幂景甜杨颖倪妮张天爱张雨绮

刚刚谈恋爱怎么牵手,男生会随便十指紧扣吗

画个新头像吧,温馨可爱的全家福头像,幸福感爆棚

魏无羡cos服魔道魏无羡cos服装全套夷陵老祖cosplay男汉服天师古装

日系唯美动漫风景插画桌面壁纸

千金方纯中草本50克湿诊外用皮肤止痒膏

日系空气感纹理烫 绅士型男百搭烫发_男生烫发 - 美发站