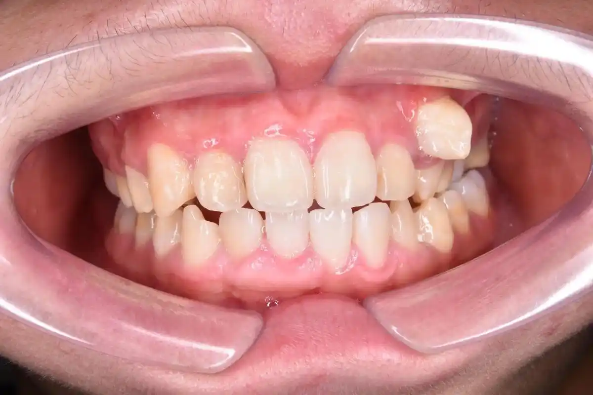
虎牙也叫犬齿,主要是因为尖牙的位置不足而引起的.

相关图片

注意虎牙可能潜伏有隐患

虎牙占了"一半的功劳"-虎牙是长在上颌门牙旁边的两颗尖牙,俗称"犬齿"

四川一位女子笑起来时露出虎牙而画面却有点夸张引来网友热议

尖牙"虎牙"长歪了,经常有被误拔或被要求拔除,除非特殊情况, - 抖音

乳磨牙滞留未能及时拔除,使上尖牙的萌出受阻. 小虎牙的危害

随机推荐

头文字d——当拓海同意加入凉介的车队后

头文字d中最具传奇色彩人物高桥凉介的战车是马自达rx7 savanna(fc3s)

高清壁纸无水印分享#高清壁纸 #游戏 #高清画质 #手机壁纸 - 抖音

卡通减肥文字h5背景

婚礼策划在风格流程图设计

莫区澳美制药琪莫星罗软膏奥匹品诺匹莫皮罗匹抗菌消炎

国家资格职业证书

2016太湖迷笛音乐节交通&露营攻略发布