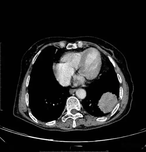
胸部ct平扫示左下肺占位肺癌

相关图片

胸部ct平扫示左下肺占位肺癌

胸部ct平扫图片金典

分不清ct"平扫""增强"?去医院做ct检查的注意事项都在这里!

人的胸部ct结果,医生会在报告单中写平扫肺窗(肺窗主要显示肺部组织

ct平扫 三期增强,这个纵隔占位有点难 [病例帖]

随机推荐

明星 高圆圆 明星风尚壁纸【1】(明星静态壁纸) - 静态壁纸下载 - 元

李小璐照片#李小璐 #@优雅的叶子 @仕琼 @翻阅图书馆 @ - 抖音

蚤休的功效与作用

求此图的出处啊,度娘黑我财富值好几次了啊

赵丽颖金鹰节造型太朴素?被曝穿过季礼服,脖子上连珠宝也没有

256_256gif 动态图 动图

一儿一女#全家福卡通头像#一家四口头像愿所有的美好和期待20 - 抖音

许光汉接下第10个代言成运动品牌大使!