种植牙案例图片

相关图片

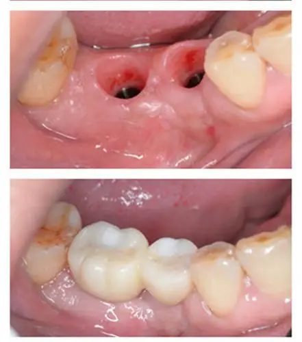
种植牙和我的真牙一样

种植牙价格

种植牙治疗案例部分图集——贝洁口腔微分享

种牙齿多少后牙

当天种牙当天用即刻种植真有这么神奇

随机推荐

少女心壁纸 - 插画 素材 ins 韩系 可爱 简约 手绘 动漫 锁屏 屏保

欧美风情 性感美艳少女国旗装野性诱惑唯美写真(二)

下颌第一磨牙牙体形态简述ppt

全国电视台台标

沈腾认真脸

一个人在路上行走 纪实 黄昏 旅行 行走 走路 旅游 户外 秋天 运动

《第五人格》薇拉 生日快乐!_九游第五人格ios专区

兰斯10t2莉亚食劵以及未死先复活的凯塞琳哔哩哔哩上传时间:3月前时长