6部师徒恋古装剧哪部让你百看不厌

相关图片

《等到烟暖雨收》虽然剧情和演技不尽如人意,颜值亦难以突出,尤其是

snh48林思意入团八年毕业公演纱裙造型仙气飘飘_队伍_剧场_脑海

久别重逢的甜宠剧,女主曾经和赵丽颖合作_秦歌_林思意_白启嘉

原创疫情之下的感人故事陈龙麦长青主动当志愿者林思意救助孕妇

不过,林思意没有鞠婧祎的好运气,入圈这么多年,她一直都是不温不火的

随机推荐

热销陈伟霆同款_港潮牌陈伟霆同款t恤港风宽松大码情侣体恤日系简约

民国美女老照片:时尚卷发旗袍美女半身照

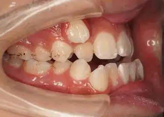
虎牙,指唇侧错位的上颌尖牙,是一种常见的畸形牙,它突出于牙弓之外

任嘉伦携妻穿情侣装聚餐,聂欢长发披肩很温婉,结婚5年恩爱如初你怎么

藏蓝色休闲裤子

金晨和黄龄跳钢管舞牵手旋转的动作谁能好意思说不美

第二件:98k(狙击枪)

14万起,1公里最低7分钱,长安皮卡既猛又省|乘用车|旅行车|发动机|长安