这几组患儿胸片是肺炎还是正常影像规培医师懵了

相关图片

柳河县医院儿科近两年诊治125例大叶性肺炎总结

小儿呼吸道合胞病毒肺炎

照胸片是检查什么 - 抖音

小孩四岁发烧不退诊断为肺炎,帮忙看下两次片子是否好了

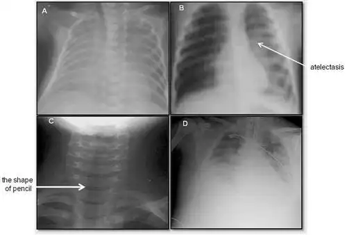
新生儿肺部常见疾病的x线诊断2 新生儿感染性肺炎 男,3天.

随机推荐

胡歌高清头像大全集胡歌成熟最帅的qq头像图片大全

动漫中最优雅的颜色:摄人心魄的紫发少女

少年张三丰这部剧是什么水平?

七,体现团队凝聚力的造型 在拍摄团队照片时,如果想要体现团队协作

壁纸 | 高清8k全面屏壁纸

那些小时候风靡的50种玩具,80后的回忆,你还记得多少?

上瘾##海若有因##黄景瑜##许魏洲#@johnny黄景瑜@许魏洲zz 嘿

夏目友人帐7_夏目友人帐