陈奕迅

相关图片

陈奕迅为澳门演唱会延期道歉:身体不舒服,暂时没办法跟大家见面

陈奕迅全新单曲《是但求其爱》上线 以说书人身份唱出感情百味

全新陈奕迅图片手机壁纸大全

全新陈奕迅图片手机壁纸大全

陈奕迅##陈奕迅世界巡回演唱会##陈奕迅fearanddreams

随机推荐

肖战纯白polo衫##肖战

2021五一新疆旅游美景,高清壁纸,风景图片-回车桌面

一些不实用的衣服.98—— 图一:清朝新军海军协都统(少将) - 抖音

50岁钟汉良近照曝光!

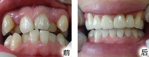
虎牙矫正前后对比图

萌萌哒星座图手机背景图卡通 狮子座

wiwh x 李沁 演员李沁最新机场私服穿搭 身穿wiwh - 抖音

除了老子和庄子他也是道家最出名的代表人物