那就看看我们什么发型都能hold住的王源巡演顶级美貌应有尽有帅晕我了

相关图片

bally全球品牌代言人王源#帅得我一个激灵天知道我有多喜欢这个发型

好爱这个发型#王源 - 抖音

高马尾 长小辫 每一次都有惊喜 期待更多的惊喜发型@tfboys-王源#王源

王源最近的这个中分复古发型也是前所未见,前不久还为这个造型专门

真的是什么风格的发型都能驾驭,期待王源的米兰时装周之旅!

随机推荐

你认为张国荣最美的照片是哪一张?

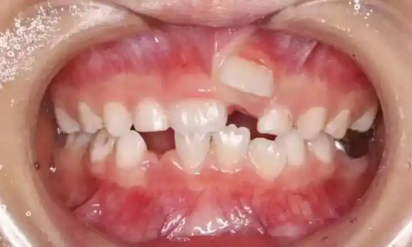
女童长出"双排牙"吓坏同学,若不注意这个行为,发病率高达30%

蔡徐坤 - 堆糖,美图壁纸兴趣社区

胡子创意奇特造型

玛利亚·瓦沃德,这位出生于1987年3月24日西班牙马德里的女演员,自

又一部双女主影视剧官宣金晨李一桐挑起大梁这颜值我爱了

龙猫临摹

这次活动,让学生进一步感悟到经典文化的内涵,体验到古诗的独特韵味