平93到底有多平.#胸型改善 #平胸 #女生必看 #变美 # - 抖音

相关图片

谁是男土豪?

微博平胸大赛走红 霸气晒胸秒杀大波妹(组图)

微博的晒平胸大赛,其实平胸妹子也蛮可爱的

女生平胸是一种什么样的体验?

平胸大赛网络走红胸前坦荡荡的萌妹子们组图

随机推荐

赵丽颖林更新安利新剧##赵丽颖林更新比心合拍

拥有一头超顺秀发,秒变气质小公主

杨千嬅银河方舟音乐节斜肩礼服写真 挑染紫发浪漫时髦_杨千嬅_写真

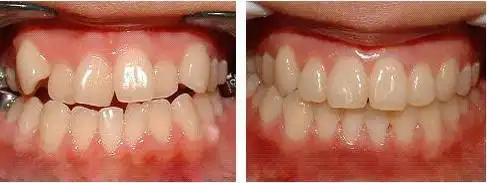
虎牙是一种常见的畸形牙齿,位于上颌唇侧错位的尖牙,它突出于牙弓之外

立绘练习 - 优动漫 动漫创作支援平台

优质壁纸,美女部位锁屏壁纸,感谢生活,有剥削也有馈赠丨星猫壁纸

作者简介 屠格涅夫是19世纪俄 国有世界声誉的批判现实 主义作家,诗人

世界三大宗教