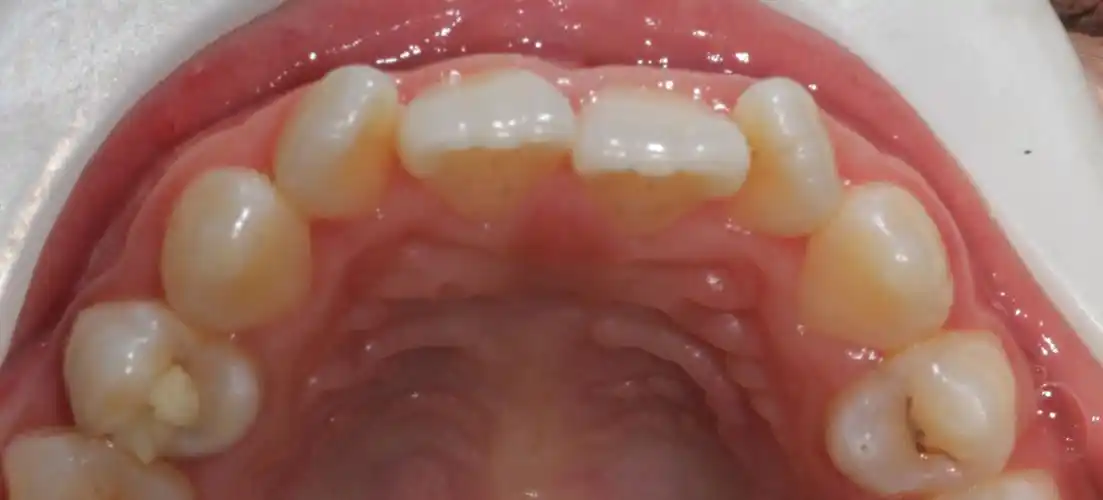
正畸牵引联合氧化锆基台修复双侧侧切牙缺失1例

相关图片

病例分享过小侧切牙的直接修复

为什么许多人上颌的侧切牙是歪的

多学科联合治疗上侧切牙畸形过小牙一例——孙丽艳医师

正畸牵引联合氧化锆基台修复双侧侧切牙缺失1例

上颌侧切牙矫治拥挤

随机推荐

迪丽热巴紫罗兰公主##迪丽热巴金纺活动

泰拉瑞亚360度环视动态壁纸下载_wallpaper泰拉瑞亚全景游戏壁纸_3dm

人气女星angelababy(杨颖)投入拍摄古装剧《相思令》多个月,近日终于

杨超越虽然没有演过戏,但是还是很有灵气的,一袭白衣,默默流泪,表情

好久不见的挑染造型!好期待马嘉祺的solo舞台《狼》 676767

叶祖新《美人制造》古装美男藏腹黑

霸气女神金晨性感迷人写真,高清图片,电脑桌面-壁纸族

作文稿纸(300字稿纸模板)