ins小熊_手机壁纸_动漫卡通手机壁纸_我要个性网

相关图片

布朗熊壁纸丨超治愈可爱萌物!

可爱小熊背景壁纸

卡通壁纸# #手机壁纸# #可爱壁纸# #ins风壁纸# #迪士尼壁纸# #熊熊

棕色软妹可爱小熊壁纸

背景ins小熊可爱软萌 - 堆糖,美图壁纸兴趣社区

随机推荐

张艺兴 侧颜 三屏拼接壁纸

qq头像可爱女生仙女,qq头像女生可爱仙女味-图片大观-奇异网

遭枪决 墨索里尼头部中弹脑浆遍地

平时没事也可揉揉小腿肚,能升高体温,促进代谢,增强免疫力.

江户早中期浮世绘画师.

关于爱眼护眼的简笔画手抄报 爱眼护眼手抄报

短发女孩半袖t恤穿搭的样子真美,白皙的皮肤真好看,青涩的青春

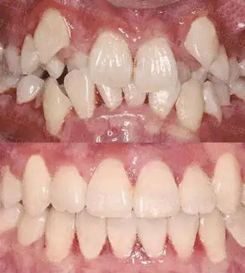
牙齿矫正前后对比照