寝室群头像

相关图片

一所高校女生宿舍里出现了这样一幕,一个穿着白衣服

被上铺兄弟臭脚薰得戴口罩

头像插画|宿舍的四小只

九人宿舍打野开黑头像

宿舍头像6个可爱卡通宿舍群头像女生图片一系列 太可爱了(2)

随机推荐

刘德华参加活动,穿灰色风衣搭运动裤,儒雅又不缺时尚感!

ups接线安装实例

【赵丽颖】明艳大气◎绿色长裙好漂亮!

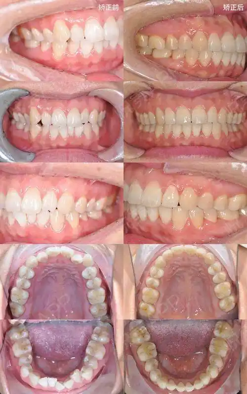
主要问题是牙齿排列不齐,门牙前突,脸型不对称.

██割肉出几个小玩意██ 湖北绿松石弥勒佛雕件 24k包金熊牙 白金

所有努力和坚持都会发光的#励志壁纸文字 #自律 #正能量#努 - 抖音

福建发出第一张台湾居民居住证

皇权富贵