微创手术治疗拇外翻,医保报销,费用低,术后即可下地

相关图片

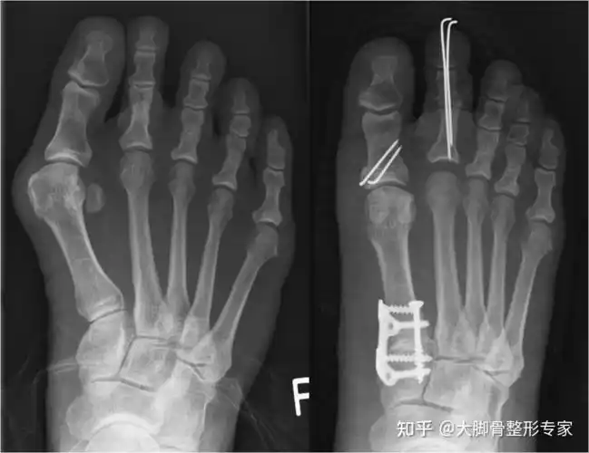
大脚骨scarf akin截骨 - 好大夫在线

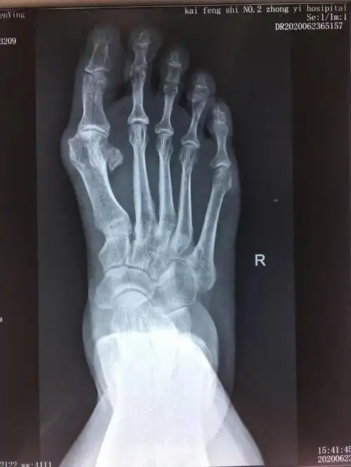
脚骨x光片术前术后对比在油管上查了很多关于拇外翻手术的视频(血腥

大脚骨手术后多久能恢复

足底行走痛 原来是"大脚骨"惹的祸

做大脚骨手术一定要上钢板吗微创效果佳恢复快

随机推荐

小狗才没有什么弯弯绕绕的他只会眼睛笑得弯弯的望着你#刘耀文

袁姗姗

大陆男演员(大陆男演员名单大全)

自然风景 山脉 日落 树木 08 天空 云 阳光 草 4k高清风景壁纸3840x

半人半鬼

8k高清诡异又好看的壁纸

亚历山大王alexanderwang

内裤和袜子到底能不能一起洗?| 终极难题大揭秘