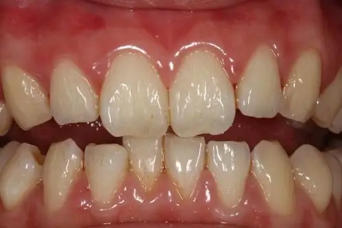
现代人对口腔卫生很重视,一天刷两次牙很正常,那为什么牙齿还是会变黄

相关图片

牙齿美白.牙科保健概念

为什么我的牙齿在慢慢变黄?明明有认真刷牙啊!

健康的牙齿的年轻女人的特写牙科保健服务hy

有普通人能效仿的美白牙齿的方法吗?

这牙齿是表面黄还是里面就不白呀?

随机推荐

胡子要略多与下巴处的胡子,这能让你有一个清爽的外观,同时,优质的

【风韵魅力】许晴

紫色薰衣草 tfboys-王俊凯

前胸痣的位置与命运_胸前痣相图解

双鱼座

如果奔跑是我的人生新浪扫楼##钟楚曦安心奔跑吧##钟楚曦如果奔跑是

155&180身高差情侣拍照|复古感 get起来散步也可以轻松拍出复古感

刘庭羽最新写真曝光 帅气造型女汉子来袭