67超急性期大面积脑梗死ct平扫表现

相关图片

简明又详细的头部ct读片详解收藏

收藏!影像医生必备 | 手把手教你读懂颅脑ct

患者入院后头颅ct提示蛛网膜下腔出血,以脑干前方为主,提示后循环

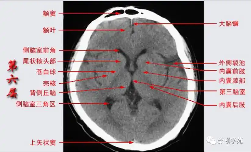
头部ct影像解剖

颅脑ct怎么看正常和异常影像分别是什么

随机推荐

见过女装的影帝黄渤吗?青岛贵妇般的端庄,网友:辣眼睛!

肖战#呆萌的哥哥你喜欢不?

微博之夜座位:王鹤棣尴尬,肖战王一博闷无交流,易烊千玺落寞!

买一副莫奈最贵的画,9000万美元,再买一副梵高最贵的画,1.

(掌擦法)

巴拉巴拉清货纯棉女童内衣8-15岁发育期儿童内衣小学生中大童吊带

郁可唯晒练习室自拍对镜卖萌比耶皮肤嫩出水

魔兽世界海山日常怎么开启-海山日常开启方法