王学圻与范冰冰

相关图片

大器晚成的王学圻:60岁遇到了范冰冰,改变了我一生

范冰冰王学圻是什么关系?

王学圻就"与范冰冰同居"传闻告媒体赔偿50万

王学圻夜访范冰冰香闺 深夜送饭亲如一家(图)

范冰冰王学圻被曝有惊人之举 秘密领证

随机推荐

古风签图么么哒 (6.1新更清新风福利签 头像)

吴亦凡《芭莎男士》7月刊封面释出

7815来到上界的石昊在罪恶之城再次邂逅了云曦,为

自然森林岩石瀑布流水4k风景壁纸

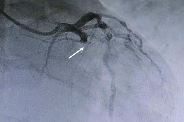
造影显示患者的冠状动脉回旋支近段完全闭塞.(翻拍照片)

发型是为脸型服务的,发型的最主要目的是修饰我们的脸型,圆形脸方形脸

伪渣语录_伪装学渣原耽语录朝俞我要上首推字体设计我要上首页见字如

有一种相识叫一见如故!麦小兜全新国风单曲《故人泪》