exo朴灿烈退伍后首开直播 穿灰色卫衣素颜无惧怼脸镜头_完兵役_音乐剧

相关图片

是状态超级好的素颜清爽帅哥!#朴灿烈直播状态#朴灿烈超话exo超话

朴灿烈退伍晒素颜照##朴灿烈退伍后首晒自拍

朴灿烈被爆多次偷食,获封"韩版罗志祥",粉丝坚称接吻照是p的_照片

朴灿烈

exo朴灿烈低调飞赴巴黎时装周 素颜依旧元气满满【组图】

随机推荐

有这样一个学姐 你上课还会迟到么【刘亦菲校服装】

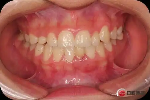
辅助弓矫治一例尖牙错位

看谁不爽就怼谁骂人,开始撕逼斗图吧_熊猫头_斗图_怼人表情表情

千纸鹤简笔画怎么画

八卦镜纯铜家用门口吸财全铜凸镜凹镜平镜太极镜挂件吊坠随身小号

十八年前何慧靠着给李咏砸金蛋为生现在摇身一变成了国际超模

家用傻厨3840煎锅韩式多功能烙饼平底锅电饼锅不粘锅烧烤电热火锅

狗的样子,褐色,背景虚化 壁纸