老传统包小腿

相关图片

包小腿菊花日式老传统纹身刺青

包小腿老传统_纹身图案手稿图片_魏佳星的纹身作品集

老传统包小腿局部雾面

包小腿纹身老传统纹身枫叶纹身

老传统鲤鱼菊花包小腿纹身

随机推荐

皮卡丘头像合集(122张) 多张皮卡丘头像最萌可爱图片_动漫头像_头像屋

《藏地万里行》之《昆仑山,可可西里》

微信萌娃系列情侣头像_超萌小孩情侣头像下载_微茶网

玄彬和孙艺珍命运般的缘分:22岁缘起28岁错过,32岁相遇40岁结婚

西红柿炒四季豆怎么炒

女中长发直发发型2021中长直发怎么剪好看

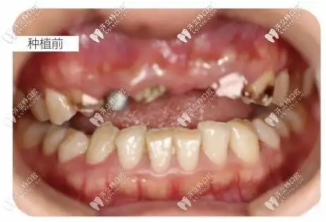
上颌种了6颗牙的我来说说关于上颌种植牙修复的那些事吧

csgo搞笑头像土匪_微信头像图片大全