阿贡步骤简笔画

相关图片

小恐龙阿贡简笔画素描

素描简笔画画一个阿贡恐龙阿贡简笔画步骤简单阿贡简笔画

阿贡图解无眠的森林

史上最强动物漫画——小恐龙阿贡 - 简书

看一下田中政志的《小恐龙阿贡》

随机推荐

赵丽颖怀孕大肚照,喜欢吗?赵丽颖首晒大肚孕妇照!一身粉色孕照服!

朝阳小学学生到社区开展垃圾分类知识宣传.

盛开的桃花唯美桌面壁纸

金智秀jisoo #jisoo绝美壁纸 我不喜欢有人能牵动 - 抖音

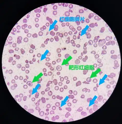
镜下结果血小板与网织红细胞通道结果基本一致,镜下还可见大量的细胞

1035卡通可爱大头贴png儿童身体圣诞动物无头搞怪图照片装饰素材淘宝

正脸图片男生头像 男生头像图片大全 -【爱个性】

心白色背景,平面卡通矢量插图