上颌尖牙的雕刻方法也很简单,首先在相对两侧绘图(可以是唇舌面或者是

相关图片

舌面,近中面,远中面,牙尖组成 上颌尖牙体积宽大,牙冠唇舌径明显大于

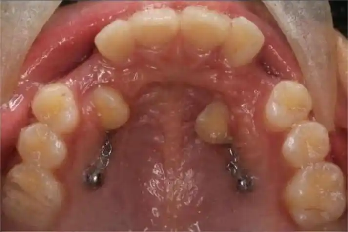
929292上颌尖牙是除第三磨牙外最易阻生的恒牙,患病率为1%-3%

上颌阻生尖牙第一类图

929292上颌尖牙是除第三磨牙外最易阻生的恒牙,患病率为1%-3%

牙齿_上颌_下颌

随机推荐

易烊千玺因档期暂别《街舞3》 导演发文期待再合作

那些惊艳到爆炸的4k电脑壁纸,每张都能用很久 - 知乎

超可爱的动物情侣头像萌萌猪猪情侣头像

瘦100斤挣26亿票房的贾玲,穿十万奢牌闯时尚圈_西装_造型_来自

59岁宋丹丹厉害了!一身黑色穿搭配短发看似低调,却秀出大长腿

汤姆·哈迪,毒液2018 iphone 壁纸

女装纸样设计,女西装

如图所示,用撬棍敲起大石头,向上向下用力都可以,哪一种方式更省力?