经典改良小切口腋臭手术术后

相关图片

30岁成人房间隔缺损右侧腋下小切口右侧腋下小切口会引起脊柱侧弯吗?

先行肘静脉造影清楚显示腋静脉,在x线指导下顺利穿刺成功,用时1小时

先天性心脏病微创不开刀介入封堵手术,经胸封堵术,小切口或常规切口

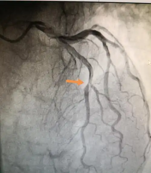
查"缺"补漏,让心更完美-先心病治疗应尽早

挽救先心病龙凤胎兄妹我院心血管内科和普外一科联合完成mdt手术

随机推荐

刘涛:迷人美图,成熟女人味,真的太美了_星期六

王祖贤年轻时绝美照片集:张张惊艳,值得珍藏(1)_聂小倩_图片_漂亮

【张曼玉】旺角卡门·阿娥

魅力时尚蔡徐坤壁纸他的回眸太迷人

宅男女神成果日系风写真曝光元气甜美似精灵这颜值注定火

我想知道这幅画的名字,或者作画人是谁,这是原图吗?求解

锂电池三元ah电动汽车72v100单体雷丁60v150低速四轮电动车电池

藏獒张继科表彰大会再当"睡神",网友大呼"心疼科科"