有什么美的电脑壁纸

相关图片

极简主义创意插画图片桌面壁纸

高清动漫电脑桌面壁纸,太喜欢护眼绿了

首页 桌面壁纸 创意手绘卡通壁纸可爱卡通个性图片素材下载上一张下一

首页 桌面壁纸 设计创意 三维球体个性设计高清电脑壁纸 第一辑上一张

有哪些有个性的电脑桌面壁纸

随机推荐

生活 民国旧事·旗袍 写美篇

【jojo/花京院】我永远喜欢花京院典明_哔哩哔哩_bilibili

赵雅芝70岁生日,引发网友夸赞和质疑,素颜照被曝,网友直呼失望

家有儿女之杨紫

献给大山深处的青春

红色高跟鞋吉他谱歌词红色高跟鞋是哪个电影的主题曲

凯源终于合体了01

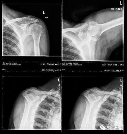
肩关节x线检查体位大全