【病例分享】下颌第二磨牙根管治疗术后"印章法"树脂充填1例

相关图片

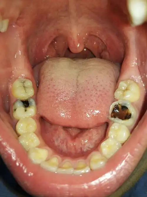
【病例分享】下颌第二磨牙根管治疗术后"印章法"树脂充填1例

下颌第二磨牙c形根管根尖孔移位1例

下颌第二磨牙c形根管

下颌第二磨牙c3型弯曲根管一例

图1222右侧下颌第二前磨牙

随机推荐

这几位明星的素颜照,既好看又真实,原来大多人忽略了妆容的重心

微博红毯女星尴尬瞬间:杨超越张天爱差点走光,金晨礼服一言难尽

星空图片唯美手机壁纸好看的手机壁纸星空图

dota2youc实况暴走22杀撼地神牛

杜海涛是湖南卫视的节目主持人,毕业于湖南大众传媒职业技术学院,早年

狗狗怀孕55天肚子这样子,奶也没发大,正常吗?

伊能静晒秦昊送的巨型玫瑰,穿粉色挂脖裙娇俏可人,一点不像55岁_很

历届世界小姐中国区冠军名单,2019世界小姐选美大赛冠军-图片大观