虎牙矫正第31副啦~效果太棒 自己看吧.

相关图片

虎牙破坏气质?小姐姐矫正变身成熟女神!

虎牙矫正的价格是多少?

虎牙女生矫正记录Ⅰ笑起来超好看的999990顾客小姐姐的_圈子

32岁虎牙正畸过程分享,花了17个月的时间终于变得美美哒!

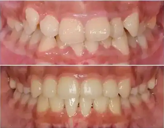
虎牙矫正前后对比图

随机推荐

《门徒》刘德华越老越有魅力

王雅洁歌唱家

关小姐后背的彩色羽毛翅膀纹身图案

难度还原度制谱师总浏览量弹唱小小新娘花歌手:孙露c调未知71%ldtlth

ratte和maus分不清德语关于鼠的表达全在这

长沙超地道蒸菜馆人均15必须要来打卡

日剧推荐之恋する母たち 日本万年老梗:不伦剧. 剧情不错.

汪苏泷侧脸合集