地包天做了牙齿矫正后,从侧脸是能够看到最明显变化的.

相关图片

厦门医生案例:1.矫正前后面像对比_圈子-新氧美容整形

矫正前后面像对比

后悔没有早点去整牙!对比下侧脸变化.骨性凸嘴,35岁开始带牙 - 抖音

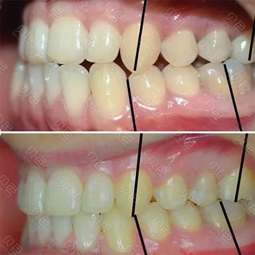
侧面牙齿及口内对比.jpg

侧面牙齿矫正前后对比

随机推荐

刘德华黑色写真高清手机壁纸

51岁张庭体重仅82斤,颜值身材同时在线,和丈夫合影像"父女"

场景现世《天龙八部手游》:武侠梦在哪里,天龙江湖就在哪里_玩家_游戏

年轻时候的黎明真是封神啊 小时候觉得他的长相是四大天王里最普 - 抖

今天折一款特别帅气的宝剑折纸 - 抖音

商品列表

哪个老哥有住院吊水图一碗泡面望管理别删我贴急用

小女孩_红裙_光脚_高清图片_全景视觉