尖牙和虎牙的区别图片

相关图片

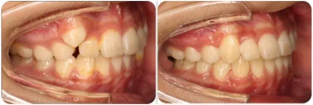
造成恒尖牙没有空间萌出,就被推挤出去变成虎牙了

尖牙vs虎牙 这次我pick这颗长得壮又能吃的牙_儿童牙病_疾病介绍_相关

虎牙其实是尖牙的畸形状态,是错颌畸形的一种,属于牙列拥挤.

补充一下:所指的"虎牙"学名为尖牙,通常为圆钝型状,当为锐角型时

虎牙也叫犬齿(捂脸),从门牙数起的第三颗牙齿(3号牙),又被称为尖牙或

随机推荐

【歌曲简谱】 一路向北 (周杰伦)

漫画头像男生拿剑

博君一肖肖战王一博

可爱治愈系头像

阴阳鱼太极

ninepercent新闻210523小鬼以出格小丑妆亮相造氧音乐节王琳凯占据

可以单独追踪每位成员的动态,省时,省事.

女生头像100张绝美 清晰的100张好看头像女生图片