男明星扮女装谁最好看?还得看"捡漏王"王祖蓝

相关图片

9位男扮女装的男明星,有的比女人还要美,这让女同胞情何以堪_成龙

原创男明星女装合集这些男星美起来基本没有女人什么事了

男明星扮女装谁最美

男明星女装有多绝!孙坚好娇媚动人,原来真的可以美到雌雄不辨

13位男明星女装

随机推荐

苹果原装电池更换需要多少钱苹果官网更换电池价格表

瑾岛推文天才基本法天才少女挣扎着与命运搏斗的史诗

景甜张彬彬

颜音的古风壁纸

本次画报以suho平时展现的专属明朗柔和形象"me, myself and i"为主题

瓦伦新开的摆盘很精致寿司自助

曾舜晞皮衣夹克酷帅气图片桌面壁纸

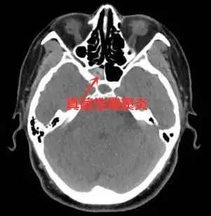
头痛有可能是真菌性蝶窦炎_鼻窦炎_鼻窦炎症状表现 - 好大夫在线