6,小妹妹虎牙长的着实吓人

相关图片

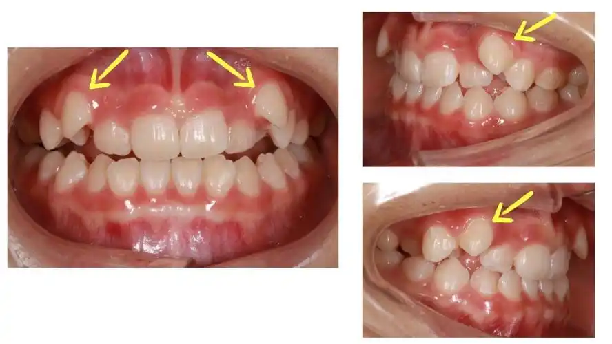
完全长偏了的虎牙

虎牙拔掉好还是矫正好? - 好大夫在线

很多人的虎牙并非与其他牙齿正常排列,而是长在口角旁,造成牙齿拥挤或

长相不正的虎牙,也不可轻易拔掉

2016-07-11 问医生 浏览官网 展开全部 也算是虎牙的,是可以做牙

随机推荐

iphonex壁纸 | 高清唯美壁纸原图_人间

花袄蘑菇头表情包_蘑菇头_花棉袄_斗图_怼人表情表情

为啥连女生都馋倪妮的身子?看完她的照片后,网友:这谁都馋

都是情头哦!

4款耳后简约好看的小纹身图案4

百团大战

相声演员周九良 - 堆糖,美图壁纸兴趣社区

赵嘉敏savokisnh48郡主