老照片:1983年严打(兰州,天津见闻)

相关图片

老照片上世纪八十年代严打时期的社会百态

80年代严打老照片强奸犯挂牌子游街示众女犯人被公审

80年代"严打"老照片:强奸犯挂牌子游街示众,女犯人被公审

看看1980年代严打老照片,公开集体枪决大批犯人

看看1980年代"严打"老照片,公开集体枪决大批犯人

随机推荐

内娱男艺人颜值排名林更新18许凯15成毅第9刘学义第2谁能登顶

离婚第十五天你就带女人回家,我看透了,我也会找一个好好爱他, - 抖音

女明星戛纳电影节红毯造型##戛纳电影节

网曝张翰娜扎12月份完婚 男方回应:假消息

李沁"葡萄干"牛仔短裤白衬衫尽显真正制服魅力!_时尚_衣服_女孩子

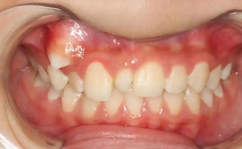
父母晒孩子双排牙齿,还以为是孩子"发育好",网友:赶紧送医院

彩色挂耳烫假发片女长发贴片挑染一片式lisa同款假发片挂耳染发片

泉州第五中学举行2022—2023学年秋季开学典礼_张芳芳_主会场_校区