四川一位女子笑起来时露出虎牙而画面却有点夸张引来网友热议

相关图片

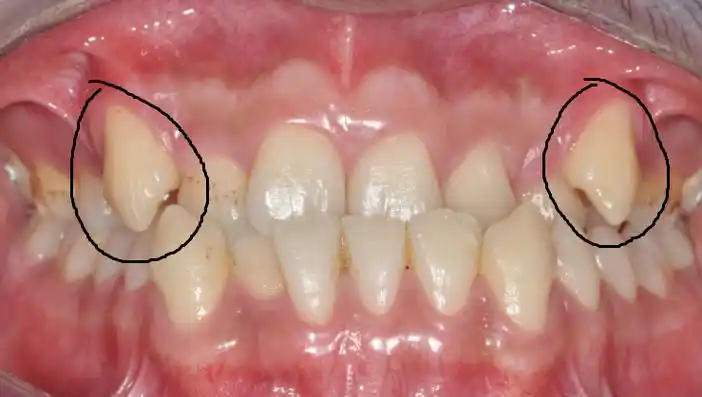
轻易拔除虎牙的危害是什么

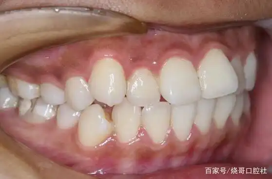
去口腔医院跑了十多次,最后还是把自己的虎牙拔掉了

长相不好的虎牙一拔了之可以吗

当然妹子拔虎牙矫正的情况也是在医生建议下的治疗,每个人长的虎牙

智齿长歪了,好疼

随机推荐

马思纯早期照片好清纯

易烊千玺亲笔签名照周边明信片七夕送女朋友表白礼物送闺蜜礼物33

美少女战士月野兔q版头像系列4

动漫头像女生 #古风头像男生#汉服小姐姐 - 抖音

《皓镧传》云梦公主历史原型是谁她心直口快处处刁难骊歌!

暑假二期水墨入门班,第五课《江南水乡》

我是善小吉祥物

4一5岁男儿童的发型有哪些?