肺结核球_肺结核结核球-万县网

相关图片

世界防治结核病日:全面解读与预防肺结核!向肺结核说不!_治疗_患者_症

世界防治结核病日:全面解读与预防肺结核!向肺结核说不!|治疗|肺炎支

景哥笔记 | 预防肺结核,别大意(下)一旦发现可能感染结核分 - 抖音

好消息!第29个"世界防治结核病日",我国确诊数已连续5年下降|治疗|肺

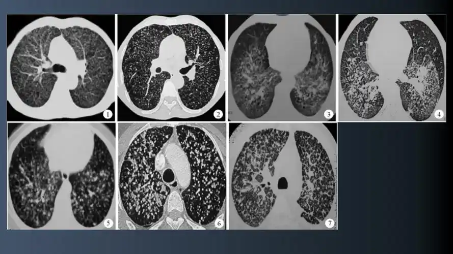
肺结核与尘肺鉴别诊断ppt课件.ppt

随机推荐

爱思壁纸亲爱的热爱的

妖紫60珍珠三件套

文字控爱情的失落怜惜壁纸

暗黑系列高级质感全面屏iphone 壁纸.#暗黑系 #手机壁 - 抖音

带你去看海 青岛百年栈桥#现场实拍 #治愈系风景 #海边随 - 抖音

小男孩时尚短发 儿童阳光帅气短发发型_儿童发型 - 美发站

室内设计手绘一点透视

韩国电视剧《不要恋爱要结婚》高清宽屏电脑桌面壁纸