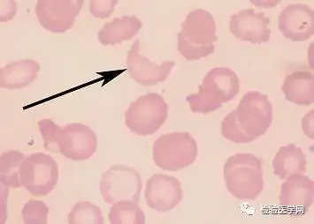
点击空白处查看答案钝锯齿形(皱缩)红细胞外周血涂片,瑞氏-吉姆萨染色

相关图片

镜下结果血小板与网织红细胞通道结果基本一致,镜下还可见大量的细胞

主管检验技师辅导红细胞形态异常

患者外周血涂片可见红细胞大小不一,棘形红细胞占17%(正常人棘红细胞

外周血细胞形态学室间质评合辑红细胞

皱缩红细胞:周边呈锯齿状排列紧密,大小不等,外端较尖.

随机推荐

2021时尚流行趋势实用穿搭单品推荐赶紧get紧跟潮流吧

郭俊辰分享逆季节写真

满脸痘痘哦

五羊折叠电动自行车锂电池超轻代驾便携代步小型电动自行车

抖音小红书上超甜的情侣头像来啦

小冰冰传奇怀旧服屠芙阵容搭配攻略,3月最新兑换码礼包码|手机游戏

北京三室两厅两卫装修7万够吗