主管检验技师辅导红细胞形态异常

相关图片

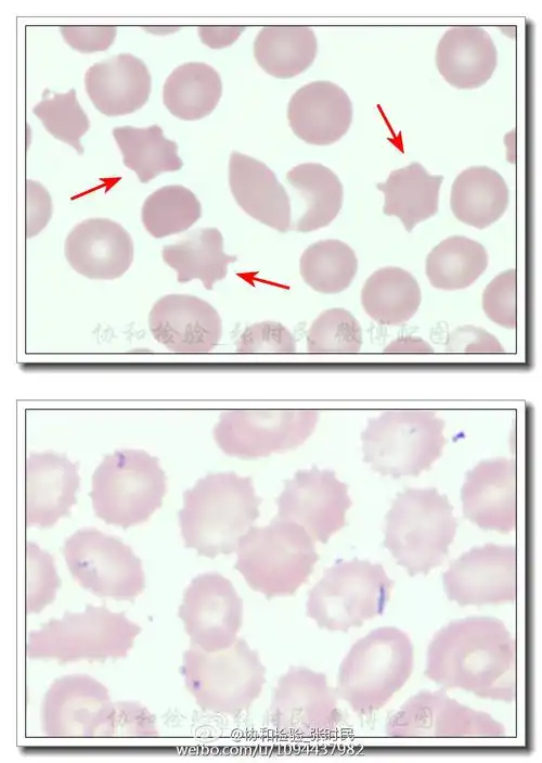
点击空白处查看答案钝锯齿形(皱缩)红细胞外周血涂片,瑞氏-吉姆萨染色

无忧文档 所有分类 血液细胞图谱ppt 刺毛红细胞 亦称锯凿细胞.

镜下结果血小板与网织红细胞通道结果基本一致,镜下还可见大量的细胞

这些红细胞异常,都掌握了吗?

外周血细胞形态学室间质评合辑红细胞

随机推荐

2021超稀有男生头像黑白无字

自学动漫手绘

qq头像霸气小姐姐女生成熟的美女微信头像真人

【ai壁纸】4k超清|傲翔在天空的巨鲲

红旗中型轿车降到10万了,外观经典,内饰豪华,还看什么奥迪a4l

有没有和我一样的认为pp是bk的定心丸

马嘉祺机场饭拍,印花夏日衬衫帅气清爽

彭冠英王楚然先婚后爱