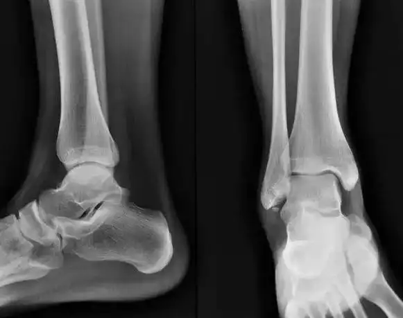
右跟骨骨折

相关图片

img_20160527_085520.jpg

1554541896.png

其它 跟骨脓肿 写美篇吉林省洮南市中医医院

【读片】跟骨病例. [病例帖]

患儿,男,11岁,跟骨骨骺炎,跟骨侧位片可见跟骨骨

随机推荐

"这个咬唇可太要命了~"#肖战 #创作灵感 #神仙颜值 #全世界最好的肖

七里香六线谱_周杰伦_c调吉他谱_高清版

陈瑶# #2024我想说# 美图鉴赏|陈瑶 街拍

多彩的18岁生日快乐背景矢量素材aiepspng

后天痣长在手掌好吗(后天手掌上有痣代表什么意思)

演员李海洋图片(又一位被低估的老戏骨) - 赤虎壹号

建议中年女性:趁着"年轻",把这4件事做好了,皮肤细腻又光滑

隋唐英雄3花大脚为铁环都不知操了多少心最终还是让她溜走了