清清理发店_梅州_百度地图

相关图片

发艺轩(中山广场店)_上海_百度地图

黑色理发店门头装修效果图

【男士理发店】男士理发店电话,男士理发店地址_360地图

创艺美发沙龙_杭州_百度地图

为什么美发店,服装店的门头有逼格看不懂,还有很多顾客,而餐厅门头就

随机推荐

小姑娘特别开心,开心笑,雨中,头发随风飘扬,蒲公英#意境 # - 抖音

《又十年》(live)张学友60 巡回演唱会 成都站 10.21

钟楚曦

服装搭配# 欧美,休闲风格,打底衫,马甲搭配

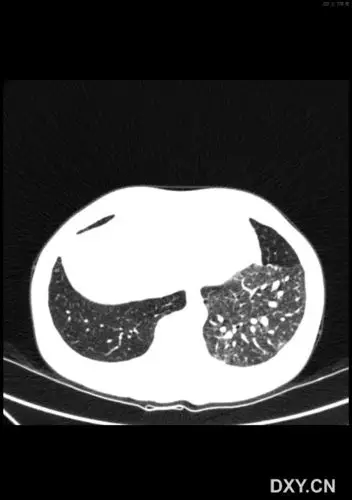
【影像读片】肺隔离症?

影视剧中的旗袍美人 孙俪唐嫣垫底 第一风情万种

【皇权富贵】快本两期糖剪,搂腰土味情话以及justin踩点狂魔

7月1日起全国铁路实行新列车运行图,广深港高铁运能扩大|高铁_新浪