拔除上颌两颗双尖牙改善开唇露齿 - 好大夫在线

相关图片

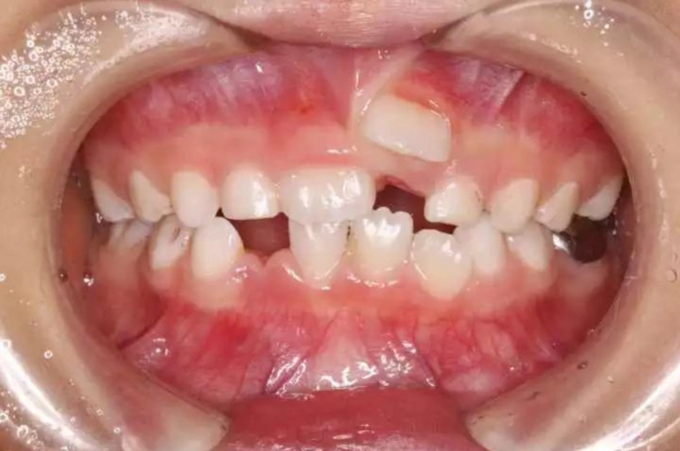
双尖牙的修复

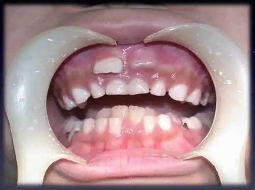
宝宝长了双层牙快吓死爸爸妈妈了

吓人的"双排牙宝宝"越来越多,跟家长的一个坏习惯有关,早点改

出现双排牙需要做手术吗?

两颗双尖牙的死与生

随机推荐

刘亦菲高清壁纸,气质非凡,神仙颜值

「博君一肖 」 假戏真做,第32章,上|肖战|钱枫|王一博|涵哥|乐姐_网易

赵雅芝高清写真图集 永远的白娘子 不老女神依然美

明星熊泽波小时候的照片你认证几张

北京时间3月15日凌晨,乒乓球wtt多哈支线赛第二天结束.

女生头像|温柔唯美背影头像 头像分享 可自取当头像哦

鹿邑风光2020

偷偷藏不住兄妹头像