个性化艺术签名设计和人们普通签名有什么不同

相关图片

王波签名设计,你的名字好看吗?_腾讯视频

艺术签名设计 #免费设计签名 #签名设计 快来领取你的签名吧

免费设计签名看主页参加

薛之谦亲笔签名 亲笔签名照片 媒体周边写真后援会粉丝礼物 款14 6寸

李少华艺术签名设计_百度知道

随机推荐

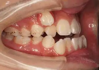
虎牙,指唇侧错位的上颌尖牙,是一种常见的畸形牙,它突出于牙弓之外

王俊凯录综艺身材前扣子意外崩开,弯腰低头那刻,小螃蟹都不淡定了

2016春夏流行趋势:教你如何巧穿透视装!

画画迪丽热巴

【壁纸分享】oppo reno内置壁纸分享-手机主题-vivo官网社区

太极八卦图挂画易经周易风水先天八卦装饰画六十四卦

喜上眉梢图片

三个硬币6爻解卦手册 看六爻卦步调_三个硬币摇六次图解