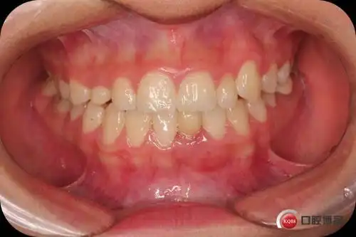
尖牙异位萌出一例_牙颌畸形_牙颌畸形治疗方式 - 好大夫在线

相关图片

尖锐_吸血鬼_牙齿_特写_尖牙_图片大全—全景创意图库(quanjing.

为什么我的牙齿很尖?是不是长歪了?我用不用矫正或者磨平?急

为什么我的牙齿很尖?是不是长歪了?我用不用矫正或者磨平?急

【原创博客】埋伏尖牙的外科电刀开窗导萌

尖牙保护合:指下颌做侧方运动时,工作侧只有尖牙接触,平衡侧牙齿不

随机推荐

邓超陈赫鹿晗对鲱鱼罐头脱敏了##哈哈哈哈哈

高冷情侣头像一男一女动漫

圆脸方脸女生一定要剪的超帅鲻鱼头 圆脸方脸女生帅气发型推荐,长款狼

白敬亭现在就出发##白敬亭1015生日快乐##pick你的星画手##超话创作

2017快男导师海报之 陈粒

一,艾泽拉斯,这块地图是魔兽最早出来的一块地图,也是最大的,里面包含

最新到店15年11月奔驰迈巴赫s600l 绝版v12发动机 - 抖音

国画 #山水画 #绘画 #国画教程 #中国画 #画画的日常