宋妍霏古装造型仙气十足写真_高度_网友_很高的

相关图片

宋妍霏战损妆##宋妍霏高马尾古装造型

【恩爱两不疑 宋妍霏】恩爱两不疑定档0406 自从落水之后,城主变得

宋妍霏黑色古装造型话说这次妆造真的好适合宋妍霏啊!

宋妍霏古装造型仙气十足写真_高度_网友_很高的

宋妍霏古装侠女写真#宋妍霏# #杨迪宋妍霏回应自热锅事件# 姐姐好美

随机推荐

易烊千玺逢考必过考神图

1949年厦门临解放前夕革命先烈刘惜芬被杀害后的遗体时年25岁

曾志伟60大寿众星捧场 曝儿时旧照感慨岁月

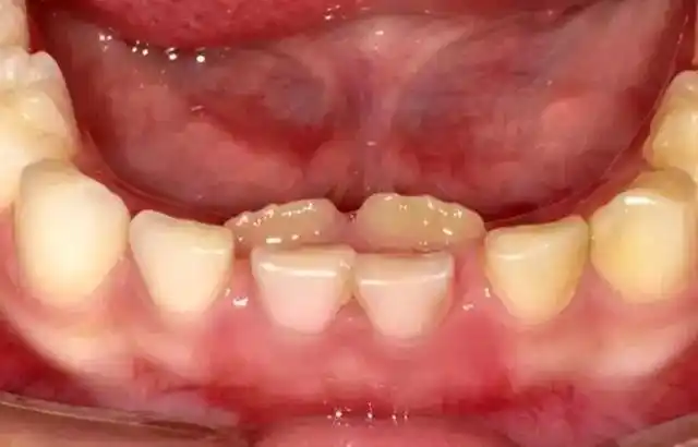
孩子长双排牙危害大,元凶不是糖,竟然是……_儿童牙病_儿童牙病相关

珠宝展 #日本东京珠宝展

gif花草树木动态图(二)

三级配电箱已做好接地措施

植物大战僵尸2:一株野兽猕猴桃迎战200小鬼僵尸?这也太猖狂了